31+ Meaningful Colon Cancer Tattoo


31 Weeks Pregnant Symptoms Tips And More


Vernon Morning Star July 06 2014 By Black Press Media Group Issuu


Twitter 上的dr Michael Ott One Of My Patients In Follow Up Today Showed Me His New Tattoo Posted With His Permission Colon Cancer Ribbon With Some Attitude Https T Co S1mqqu65f9 Twitter


Psoriasis Is Associated With 6 Ng Less Vitamin D Meta Analysis Nov 2019 Vitamindwiki


Top 25 Meaningful Tattoo Ideas Inspirational Quotes Tattoo Designs Motivational Quotes Tattoo Youtube


Pin On Name Tattoo Designs


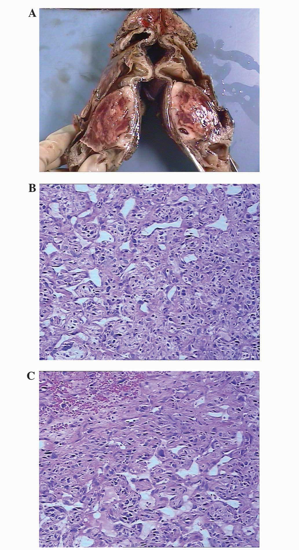
Primary Hepatic Angiosarcoma In A 64 Year Old Man A Case Report


Top More Than 63 Colon Cancer Tattoo In Cdgdbentre


1 13 11berlincitizen By Ryan Millner Issuu


2022 Plenary Oral And Poster Abstract Presentations 2022 Transfusion Wiley Online Library


Pleasanton Weekly 11 18 2011 Section 1 By Pleasanton Weekly Issuu


Lnp Feb 11 2018 Pdf Oxycodone


Memorial Mom Colon Cancer Tattoo


Pdf Indian Journal Of Applied Basic Medical Sciences Previously Published As Academy Journal Of Applied Basic Medical Sciences


Kwkw Pdf Medical Specialties Clinical Medicine


Valentines Day Crossword Puzzles Page 72


Top More Than 63 Colon Cancer Tattoo In Cdgdbentre


31 Weeks Pregnant Symptoms Tips And More

Iklan Atas Artikel

Iklan Tengah Artikel 1

Iklan Tengah Artikel 2

Iklan Bawah Artikel